SALUTE
Torino e Bologna
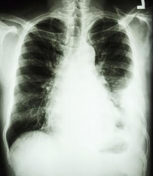
Per la prima volta al mondo la dialisi polmonare
La dialisi polmonare permette di rimuovere parte dell'anidride carbonica dal sangue dei pazienti con grave riacutizzazione di broncopneumopatia cronica ostruttiva, riducendo il rischio di intubazione

25 pazienti sottoposti al trattamento
La dialisi polmonare è un sistema ideato e prodotto in Italia, che al pari della dialisi renale, permette di rimuovere parte dell'anidride carbonica dal sangue. Presso la Terapia intensiva universitaria dell'ospedale Molinette della Città della Salute e della Scienza di Torino, diretta dal professor Marco Ranieri, questo sistema mini-invasivo di rimozione dell'anidride carbonica è stato applicato con successo su 25 pazienti con grave riacutizzazione di broncopneumopatia cronica ostruttiva.
Ridotto il rischio di intubazione
I ricercatori hanno dimostrato come l'applicazione dell'innovativa "dialisi polmonare", abbattendo i livelli di anidride carbonica nel sangue, abbia significativamente ridotto il rischio di intubazione, dal 33% al 12%, e le conseguenze negative che ne derivano, in pazienti con imminente fallimento della ventilazione non-invasiva.
Questo grande successo della Medicina, con i relativi risultati, è stato appena pubblicato sulla prestigiosa rivista scientifica internazionale 'Critical Care Medicine', organo ufficiale della Società americana di Terapia intensiva e Medicina Critica.